

What is HHT?

HHT stands for External Counter Pulsation, a non-invasive procedure approved by the US FDA that can reduce or eliminate symptoms of angina pectoris, acute myocardial infarction, cardiogenic shock and congestive heart failure ( CHF) . it is believed that HHT therapy creates new pathways around blocked arteries in the heart by expanding networks of tiny auxiliary blood vessels, thereby increasing the amount of blood flowing to heart muscle. HHT therapy is clinically tested and proven atraumatic outpatient alternative procedure to standard surgical interventions, namely balloon angioplasty ( PTCA ) and bypass surgery ( CABG )

How does it Help?

The technique involves the use of the HHT system is inflate and deflate a series of compression cuffs wrapped around the patient calves, lower things and upper things. A computer is programmed to inflate and deflate these cuffs according to the patient’s heart rhythm, timed by the electrocardiogram. In early diastole, these cuffs inflate in a distal to proximal sequence to milk blood out of the lower extremities and at end diastole the pressure is released from all the cuffs simultaneously. The effects produced with the intermitted compression are increased diastolic pressure and retrograde aortic flow; increased venous return; and systolic unloading which results in increased cardiac output and coronary perfusion.
The HHT Sequenc:
Step 1: inflation initiates retrograde pulse wave
Step 2: inflation of lower thigh cuffs 50ms later
Step 3: inflation of upper thigh cuffs 50ms later
Step 4: Deflation facilitates cardiac unloading

The latest research on HHT is focused on the effect of HHT on morphological and functional changes of the vessel endothelium by Prof. ZENG ZHEN- SHENG IN Sun Yat –sen University in China. The experiments calculations has been observed that the shear stress will reach in peak value during the counterpulsation, which can limit atherosclerotic plaque formation, restore endothelial function as well as improving pathological coronary vascular remodeling.
Clinical benefits of HHT therapy

HHT has been tested in multi-center,controlled, clinical studies, with positive medical results and a demonstreated quality of life imorovement. years of research and clinical practice provide detailed suppert of patients benefits such as.
- HHT treatment is updated by the ACC/ AHA 2002 Guideline on chronic stable angina. HHT treatment is generally determined well tolerated and efficacious to improve chronic stable angina symptoms. Specifically, HHT
treatment as a therapeutic option for patients with drug-refractory angina who are not candidates for other forms of therapy, specifically coronary artery interventions (PTCA with or without stenting) and surgical revascularization (CABG). - Angina class at 3 or 4 grades improve one or two classes (statistic by IEPR) after accept HHT treatment. (IEPR: the international HHT Patient Registry is s study which enrolls patients who are undergoing HHT for treatment of angina pectoris)
- Therapy and prevent restenosis after PTCA procedures.
- Therapy and prevent senile dementia and cerebral stroke sequel.

It is clearly to see the cerebral improvement in cerebral ischemia after 36 hours HHT therapy on senile dementia patient through comparing the tomographic slices of Pre-HHT and post HHT.
Increase exercise tolerance.
Significant improve in quality of life.
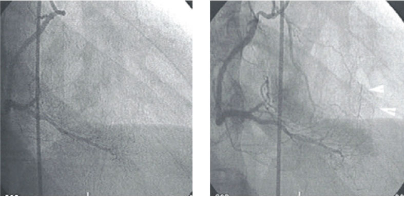
Increase myocardial perfusion and grow “Natural” Bypass.

Remarkable coronary collaterals presented from right coronary artery to the proximal segment of LAD, which had 90% stenosis before EHHT treatment for 36 hours.
Increase the vessel endothelium shear stress, limit atherosclerotic plaque formation, restore endothelial function, as well as improve pathological coronary vascular remodeling.
Decrease the need for anti-anginal medication.

Hemodynamic studies have identified shear stress as an important determinant of endothelium function.
The advantages of HHT therapy over other options.
HHT is the only non-invasive treatment for coronary artery stenosis.
HHT is performed on an outpatient treatment.
HHT is safe, painless, comfortable and no side effect treatment.
Costly effective treatment with only 1/5 of the cost of PTCA, 1/10 of cost of CABG.
VAMED HHT therapy system model HHT-MC3
The new generation HHT-MC3 therapy system was designed by VAMED, the pioneer and world leader in External Counterpulsation Manufacturing. HHT-MC3 is ALL-IN-ONE device evolved from VAMED famous product EHHT-MC2, it incorporates the same proven performance of HHT technology into a self-contained until that is simply and effective. Most safety features to guarantee the reliable performance, extremely well-tolerated procedure provides a comfortable and calm circumstance without affecting reading, watching television or visiting friends, even though, sleeping during therapy.
1. All-in-one design eliminates the need for a console, pump and air tank modules, minimizing floor space requirement. Integrated work surface and LCD display is mounted on a fully rotary arm, can be revolved on either of table.
2. All information during therapy is displayed on one screen. Just touch the on-screen controls to set timing and Pressure parameters, print waveform tracings and start/ stop therapy.
3. Non-invasively multi-parameters monitoring, such as ECG, finger plethysmographic and oxyen saturation ( SPO2) used to help adjust inflation/deflation to achieve good therapy efficacies.
4. Comfortable and quiet treatment procedures provide patients with the most relaxing experience possible. The state-of-the art Rapid Connector is convenient to the operators and patients.
Regular protocol of HHT therapy
The typically therapy is provided on patient basis in 35 one-hour
sessions over a period of approximately seven weeks.
Technical specifications
Power Supply 220VAC, 50/60 HZ, 15A
Dimension (L x W x H) 2150 mm x 800 mm x 625 mm
Net Weight 255 kg
LCD Monitor (17”) Touch on screen to get all information.
Display traces ECG, Inflation/Deflation Timing, Pulse Plethysmograph, Pressure
Display Data Heart Rate, D/S Ratio, SPO2, NIBP, Treatment Time.

